※患者様のご厚意でご紹介させて頂いております。
ホワイトニング#001
|
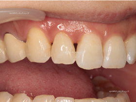
治療前 |
治療後 |
これまで、何回かホワイトニングをしたが右上の前歯1本のみが白くならず、周りの歯の明るさと違い目立つというお悩みで来院されました。
この歯は過去に神経の治療(根管治療)を受けた歯ということでした。神経の無くなった歯は時間が経つと色が暗くなる傾向があります。
また、神経の無い歯は通常のホワイトニングでは効果が出にくいため、ウォーキングブリーチ(歯の内部からのホワイトニング、漂白)をおこない歯の白さ(明度)を改善することにしました。
天然の歯の部分は白くなりますが詰め物の色は変わらないため、ウォーキングブリーチ後、ダイレクトボンディング法で詰め物を入れ替え色調を揃えました。
|
歯の色の確認 |
歯の裏からお薬を詰める |
■治療内容と結果 :変色歯にウォーキングブリーチ法によるホワイトニング(漂白)をおこない、周りの歯と同じ自然感のある白い歯となった。治療期間3ヶ月。
■主なリスクや副作用:治療中は一時的に歯が薄くなるため、硬いものは咬まないこと。白さを維持するために定期的なチェックとクリーニングは必須。また、個々の患者様の状態は異なるため、治療の結果も異なることをご了承くださいませ。
■費用:ウォーキングブリーチ(1本):20,000(税込22,000)
ダイレクトボンデイング :30,000(税込33,000)
©大手町、丸の内の歯医者(歯科) | 大手町デンタルクリニック 東京都千代田区大手町1丁目5-1大手町ファーストスクエアWEST1階

























